Πολυμέσα
Φωτογραφικό Υλικό
Βίντεο
Θεραπευτικά Πέδια
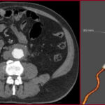
Ανεύρυσμα κοιλιακής αορτής: Mε stent-graft
Η ενδαγγειακή αποκατάσταση ανευρύσματος κοιλιακής αορτής με stent-graft είναι ελάχιστα επεμβατική μέθοδος κατά την οποία τοποθετείται ειδικό ενδομόσχευμα στην αορτή για την απομόνωση του ανευρύσματος.
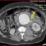
Ανεύρυσμα κοιλιακής αορτής-Ανοιχτή Αποκατάσταση
Η ανοιχτή αποκατάσταση ανευρύσματος κοιλιακής αορτής είναι χειρουργική επέμβαση κατά την οποία το παθολογικά διατεταμένο τμήμα της αορτής αντικαθίσταται με συνθετικό αγγειακό μόσχευμα για την αποκατάσταση της φυσιολογικής ροής του αίματος.
Στένωση Καρωτίδας
Η στένωση καρωτίδας είναι η στένωση της καρωτιδικής αρτηρίας λόγω συσσώρευσης αθηρωματικής πλάκας, η οποία μπορεί να μειώσει τη ροή αίματος προς τον εγκέφαλο και να αυξήσει τον κίνδυνο εγκεφαλικού επεισοδίου.
Αρτηριοφλεβικές επικοινωνίες
Οι αρτηριοφλεβικές επικοινωνίες είναι παθολογικές συνδέσεις μεταξύ αρτηριών και φλεβών, όπου το αίμα παρακάμπτει το φυσιολογικό τριχοειδικό δίκτυο και ρέει απευθείας από την αρτηρία στη φλέβα.
Περιφερική αγγειοπάθεια
Η περιφερική αγγειοπάθεια είναι η νόσος κατά την οποία οι αρτηρίες που τροφοδοτούν τα άκρα στενεύουν ή αποφράσσονται, συνήθως λόγω αθηροσκλήρωσης, μειώνοντας τη ροή αίματος προς τους ιστούς.
Χειρουργική αντιμετώπιση κιρσών
Η χειρουργική αντιμετώπιση των κιρσών περιλαμβάνει επεμβατικές τεχνικές που στοχεύουν στην αφαίρεση ή απομόνωση των παθολογικά διατεταμένων φλεβών, αποκαθιστώντας τη φυσιολογική φλεβική κυκλοφορία των κάτω άκρων
Θεραπεία Κιρσών με laser
Η θεραπεία κιρσών με laser είναι μια ελάχιστα επεμβατική μέθοδος κατά την οποία εφαρμόζεται ενδοφλέβια θερμική ενέργεια για να κλείσει η πάσχουσα φλέβα και να αποκατασταθεί η φυσιολογική φλεβική κυκλοφορία.
Διαβητική αγγειοπάθεια
Η διαβητική αγγειοπάθεια είναι επιπλοκή του σακχαρώδη διαβήτη που προκαλεί βλάβες στα αιμοφόρα αγγεία, επηρεάζοντας τη σωστή κυκλοφορία του αίματος και αυξάνοντας τον κίνδυνο ισχαιμίας και ελκών, ιδιαίτερα στα κάτω άκρα.


























